
Series “Soap your mouth” – pastor Alex Pekun – YouTube

GET ON YOUR KNEES AND OPEN YOUR MOUTH Poster | yfghy D c hh | Keep …

foot-in-your-mouth-big-mouth-trouble-cubby-demotivational-poster …

Somerset County council offers advice for Mouth Cancer Action Month

How To Get Rid Of Mouth Ulcers – Extremely Painful Mouth Ulcers Home …

Parts Of Mouth | Body Parts | Learn English Vocabulary – YouTube

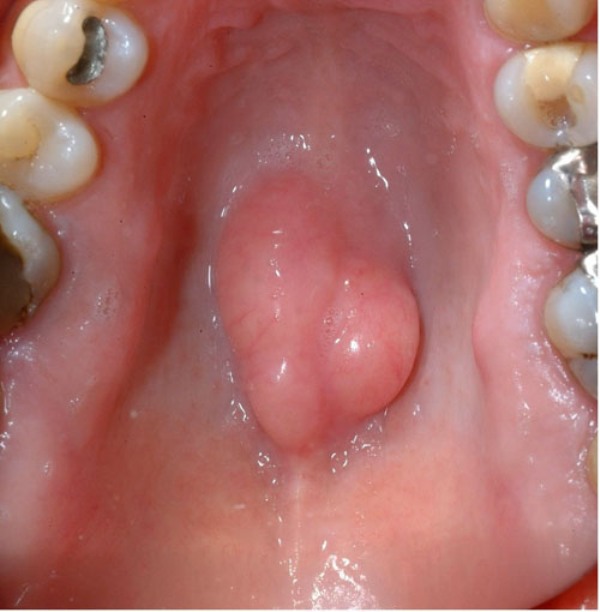
Torus Palatinus (Bump on Roof of Mouth), Causes, Diagnosis, Removal …

Dry Mouth Treatment | Kurpis Advanced Dentistry
Keep your mouth clean with these great tips! – Lifetime Smiles

Mouth cancer Overview – Mayo Clinic

Roof of Mouth Sore: Possible Causes and Home Remedies – Tipsvibe

Your Mouth Bacteria May Be What’s Causing Your Migraine : HEALTH …
teeth in your mouth, inside your mouth, talk your mouth, melt in your mouth shortbread, watch your mouth, lort your mouth, sense your mouth
